
患者さんを 診療所から お送りする際の
私の【決まり 姿勢】です。
私の【こだわり】に 長時間 お付き合い 頂いたことと、
歯を 大切にして下さっている事への
【敬意】の標なんですよ。
でもね、
診療室に 入っていただいて
患者さんの お話しを うかがっている際には、

フムフム ホウホウ!
いたって 真面目に 真剣なんですよ。
同等の 立場で 先入観は 皆無で
うかがって いるんです。
そうでなきゃ 医者は イカンと 思うんです。

患者さんを 診療所から お送りする際の
私の【決まり 姿勢】です。
私の【こだわり】に 長時間 お付き合い 頂いたことと、
歯を 大切にして下さっている事への
【敬意】の標なんですよ。
でもね、
診療室に 入っていただいて
患者さんの お話しを うかがっている際には、

フムフム ホウホウ!
いたって 真面目に 真剣なんですよ。
同等の 立場で 先入観は 皆無で
うかがって いるんです。
そうでなきゃ 医者は イカンと 思うんです。
今日は 祭日 【昭和の日】
世間は 既に ゴールデンウィークに 突入したようです。
朝、
来月で 88歳を 迎える 母の 子守り?
新型コロナウィルスへの 警戒心から
何処にも 連れて行って やれません。
でも、
便利な時代に なりましたね。
取り寄せた 【長野県のお菓子】

幼い頃の記憶を たどって、
インターネットで 購入したのです。
熱~くて 砂糖とミルク たっぷりの 珈琲をいれて、
これは 栗かねぇ?
何処かで 食べたことが あるような?
そんな母。
痴呆が 進んできているのは
日に日に 判ります。
が、
一口 食べたや否や の 刹那、
右目の瞼が
バチって 見開いたのです。
美味しいモノを 食べた際の 母の決まり 反応。
これは 桜井甘精堂の 【栗かの子】やねぇ!
流石 なのか?
情けないのか?
それでも 幸せそうな 表情に
人は 悪い部分が
少しずつ 消えてゆき、
最後は 穏やかな 仏さまの ように なるのだな と。
で、
必ず 私に問いかける 言葉も 同じ。
仕事は?
忙しいの?
可愛かった子が こんなに 厳しい顔になって。
毎日 神さんに 商売繁昌を 祈ってるから!
やはり 商人の 母なのです。
そんなこんな 時間を過ごして、
私は 診療所へと。
今日も 【手術】です。

私は 歯科治療が 好きなんです。
ゴールデンウィーク?
そんなに 休暇をとると 【腕】が 鈍りますよね。
それに、
医者に 長期休暇なんか 要りませんよね。
患者さんが 居られるんですから。
いつ 休むのか? って?
仕事の合間に 院長室で 一服。

美味い 珈琲と シガーで 一服。
背景の【観音様】は
以前にも 申し上げましたとおり、
幼い頃
近所の お年寄りから 頂いた 仏さま。
ズッと 一緒でした。
人間関係は さまざま 変わりましたけど、
この【観音様】とだけは 半世紀以上の お付き合い なのです。
私の 泣き笑い 全て 一緒でした。
でも 可笑しい ですよね。
私の院長室。
浄土真宗の 先祖の 御仏壇に、
真言宗の 観音様。
そして、
カトリック信仰の 品々。
以前 せがれ から 言われました。
父ちゃんは 万全の護りやねぇ!
そうでしょっ?
だって、
私が【強運の持ち主】でなければ、
患者さんの 手当て できませんよ。
と 言いつつ、
今日も 【オペ】を 楽しむんですよ。
歯科医学は 奥が深い ですから。

今、
スタッフが 患者さんへの 【歯磨きトレーニング】の最中ですので、
つかの間の 一服。
院長室の チェアーから 窓越しに
菊池寛通りの 街路樹に 新しい芽が 付き始めたのを
眺めていました。

院長室は 私の 【頭脳的労働の場】なんですが、
頭を 使うって やはり 疲れますね。
デスク脇の 窓の横に、
カトリック教会の四国教区の 諏訪榮次郎司教さま から頂いた
お写真と、
渡辺和子先生の 【日めくりカレンダー】を 置いています。
患者さんの 身体の手当て。
実際の診療より、
診断や 治療計画の作成の方が
消耗するんですよ。
だって、
大きな責任が あるじゃない ですか!
患者さんの健康を願うのが 医療職の使命ですから。
くたくたに なります。
また、
いろんな 想いが 心を 動かせるんですよ。
そんな時、

この 司教さまの ミサの所作とか、
司教さまから 生きることの意味の お話しを 思い出しながら、
平静の心を 取り戻すように 努めています。
最近 ご紹介した あの悲惨な歯科治療の患者さんのことが
ズッと 頭から 離れません。
来週の月曜日には、
この患者さんの口腔に使われているメーカーの方を
診療所に お呼びしました。
レントゲン像を、
もう一度、
メーカーの方と共に 再確認するためです。
私は 本当に 幸せ者です。
いろんな方々が、
助けてくださいますので。
絶対に、
この患者さん。
助けますよ!
私は【本当に困った時の歯医者】ですから。
考えて
考えて
で、
もっと 考えて
手当てに 着手するのが 医療職の 責務なんですよ。
理想を 追いかけ続ける って、
アホウに なりきらねば できない事を
この頃、
つくづく 想うのです。

パリの サントノーレ通りに たたずむ 【オテル ド サントノーレ】
診療所の 引き出しの 整理整頓をしていたら
大切に 取って いたのでしょう。
ホテルの ロビーに 置いてあった パンフレットや
部屋の引き出しにあった 便箋や封筒が 出てきました。
私の診療所の外観は このホテルが 基本となりました。
そこに、
シカゴの ドレイクや、
ニューヨークのセントラルパークサウスの エセックスハウスなどの
私の 理想を
予算重視?で 簡素化しつつ
現実化したのが もう15年も前の 話に なりました。
私の歯科治療。
これも 随分と 進化しました。
さまざまなる 縁の在った方の お陰だと 感謝しつつ、
まだまだ 私は 空高く 舞い上がる 積もりです。


この 調度品 それぞれに 【意味】と【こだわり】が あります。
述べさせて 頂こうと 思っていたのですが、
スタッフブログで 先を越されて しまいました。
それでも、
私の 歯科治療への 【こだわり】は
私 以外には、
現実に 私の治療を お受けになられておられる 患者さんだけが。
それで 良いと 思ってるん ですよ。
感染症対策への 防止策は
新型コロナウィルスの影響にて
3年がかり.で 万全に整いました。
大変な 出費を強いられましたが。
医療機関の本質を 考えると、
逆に 患者さんのために なるための出費。
有益だったと 考えています。
しかし、
眼に見えないウィルスとの 戦いです。
それは 今も 続いているのです。
気が張って、
琴の弦が ピンと 張りつめて 診療生活を 送っています。
心に 余裕が 必要になったのでしょうか?
思い立っら 即 行動に移すのが 私の信条。
診療所の 模様替えに 着手し始めたのです。
エントランス部分は 今日 完成します。
長年の 念願であった、
診療用チェアーの 正面の家具の交換。
昨日 終わりました。

どうですか?
私 好み.でしょっ?
シカゴのドレイクや、
ニューヨークのセントラルパークサウスに在る エセックスハウスの イメージで
私の診療所は コーディネートしました。
私の 常宿ですから。
1日の ほとんどを 診療室で 過ごす 私です。
気分良く 診療したいんです。
患者さんも 同じだと 思いますよ。
ゆったりと、
心に余裕を持って、
落ち着いた 私の【手当て】を受けたい。
そうでしょう?
台上の 置物。

羽をもつ 豚ちゃん。
トントン拍子に 事が進む。
沢山 子供を出産する 豚ちゃん。
世界の どの国でも 演技の良いとされる 動物ですよね。

と、
カエルちゃん。
幸せが カエル。
そういう 意味合い なんです。
せっかく 勇気を出して、
私の診療所の【門】を叩いて、
私の【手当て】を 希望されて お越しになる 患者さんたち。
歯の命を 助けるだけでは なく、
お幸せに なって 頂きたいのです。
左上下 犬歯を 【オールセラミック クラウン修復】する ことに。

左写真は 上の犬歯の プレパレーション。
右写真は 下の犬歯の プレパレーション。
全体像としては 【将棋の駒】のような 形に なってますね。
これが 【クラウン修復】の際の 【歯を削る 基本形】。
歯を削る際に 使用する ダイヤモンドポイントの 先端も
歯茎との 位置関係を 完全に【計算】しつつ、
手先を 完全に 【コントロール】しています。
歯型を 精密に採って、
ここからが 【最後のツメ】。
フェイスボー トランスファーを 行います。

なぜなら 犬歯は 【咬合の灯台】の機能を果たす
咀嚼運動の 要なのですから。
審美歯科修復は 白くて 自然で 美しい だけでは イケマセン!
私は【歯科医師】なんです。
観てくれ も 重要。
でも、
生体に 調和した 【手当て】を
随所 随所に 【仕掛け】する プロフェッショナルですから。
フェイスボー トランスファーを おこなって、
咬合器に模型を装着し、
技工物を 製作する。
これは 【修復治療の常識】なんです。
先般 ご紹介した
あの【悲惨な修復治療】。
いよいよ、
【三枝デンタルオフィス】の 本格的な 診査が 始まりました。
全顎的な デンタルレントゲン所見。

口腔内の写真。




それだけでは、
総合的な 正確な 【診断】は できません。
CT ???????????
今の現状では 無意味です。
木を見て 森を視ず といった処 でしょうね。
歯科保存学の基本は 【無菌的治療】である ように、
修復治療の基本は 【咬合器】に歯型を 正確に装着し
噛み合わせの ドキュメントを 把握することです。
咬合器も ずいぶんと 沢山の機種を 使ってきましたね。
ディナー.マークⅡ 咬合器は、
私が歯科医師に 成り立て頃の アメリカでの 花方機種でした。
貧乏大学院には そんな高価な機材は 到底 買えません。
アルバイトをしながら 歯科材料屋さんのご厚意で 分割で 手に入れました。
嬉しかったですね。
だんだんと マニアックになって、
全調節性の咬合器も 買いました。
自動車が 購入できる位の 金額でしたね。
もう20年以上は 経った頃でしょうか。
ロバート.リー先生を アメリカからプライベートで招聘し、
数日間、
独占して トレーニングを受けるぞ!
師匠である 内藤正裕先生の ご厚意にて、
数名のメンバーの中に 入れて頂いたのでした。
こういう場合、
弟子たる 私の返答は 【へい 承知いたしました】 なんです。
トレーニング費用なんて 聞けません。
海外から 著名な歯科医師を お呼びする際、
御夫婦で ご招待するのです。
飛行機は 【ファーストクラス】
ホテルは?
飛行機が ファーストクラスなので 凡そ お判りになると 思います。
1日のギャランティは 凄まじい ですよ。
まぁ 100万円は 覚悟しなければ なりません。
それを 数日間。
しかも 10名は 居なかったですね。
当時の私は、
銀行で借金して 準備したことを 覚えています。
当時の家人には、
恐くて、
なかなか 言い出せなかった。
今となれば 良い 思い出ですが。
ですから、
通常は、
この高額な ギャランティを捻出するために、
メーカーをスポンサーにつけて、
大きな会場に、
いっぱいの 歯医者さんを 1日 3万円くらいの講習費で 集客し、
講演会を 行うんです。
講演会って、
観てるだけなんで たいして身につく事って ないと、
私の経験から そう評価しています。
講習会は 実習付き で なければ なりません。
そんな こんなで、
ロバート.リー先生からの 内容の濃いトレーニングを受け、
またまた 借金して
先生御考案の【パナデント咬合器】の全セットを購入し、
それからの 数十年、
このパナデントを愛用し続けています。
今では、
5台の パナデント咬合器が フル稼動しています。

フェイスボー.トランスファーを行い、
患者さんの歯型を
【セントリック バイト】にて、
パナデント咬合器に 装着します。

で、
私の診査が 始まるのです。
詳細は 専門過ぎて、
ここでは 省略させて頂きます。
歯科医師の 犯した 修復治療の【設計ミス】が
あからさまに 表れるのです。
私の修復治療に【咬合器】は 必須です。
でなければ、
私自身が ミスに 気づかない【危険性】も あるからです。
治療の 各過程において、
この手順は 繰り返されるのです。
これが【三枝デンタルオフィス】の修復治療の 基本です。
最近、
咬合器の要らない【診断】を提唱する 歯科医師の考え方を
頻繁に
耳にしますが、
南カリフォルニア大学の補綴学の永年教授であった
イングラム博士の言葉を 思い出すのです。
歯科治療において、
いくらでも、
手順は 省くことは できるんだが、
それは 手抜きと 言うんだよ。
大切なことは、
各 手順を 省かずに 誠実な医療を行うこと。
決して 自分に対して 傲慢になっては いけないよ。
私は このスーパースターの言葉を 忘れません。
謙虚な 歯医者で いつまでも居たい。
関西の 若手歯科医師たちから
ズッと、
講演を依頼されてたんですが、
世は コロナ!
濃厚接触を 恐れ、
医療人としての 考え方から、
辞退して いたのです。
未だ、
コロナに対する 警戒心は といて いません。
が、
若手歯科医師たち。
不安感に 押し潰されそう なのでしょう。
それと、
会場の状況を 聞き、
恐がりの 私への配慮、
世間からの 厳しい視線にたいして
十分な 配慮が 行き届いておりましたので、
大学での講義 以外の、
開業医の歯科医師に向けた 講演を
久方ぶりに 再開したのです。
場所は 神戸市。

Vシネマの ヤクザの親分では ありませんよ!
アル.パティーノ演じる ドン コルリオーネ と 思ってください。
ヤッパリ 神戸は 良いですね。

朝早くから 夕刻の4時までの 講演でしたので、
終了後、
フラりと、
贔屓の アンティーク家具屋へと 出向いたのです。
店長と 雑談しつつ、
現在、
思うところ あって、
三枝デンタルオフィスは 家具類を 一新する ことに。
三枝デンタルオフィスは 新築して 既に15年 経過しました。
私も それだけ 歳を とりました。
壮年のベテラン歯科医師の 面目躍如 と 云った ところ でしょうか?
より 上品な 歯科治療を。
そして、
より 上品な 歯科診療所の 雰囲気 創りを。
そういう ことで しょうか?
昨年、一昨年は、
診療所の機材 設備を 一新しました。
感染症対策を 万全に 整える ためです。
私は 攻めの 日本男子です。
次から 次へと、
歯科医療の向上のために
人生を 捧げています。
来年、
新しい 三枝デンタルオフィス。
楽しみに、
変化の 過程を 観てて ください。


アンティーク家具屋の 店長との ワンショット。
後ろの 家具は、
診療チェアーの ド真ん前に 設置するモノです。
楽しんでますよ!

今年 59歳の 私。
歯科医師免許を 頂いた歳が 24歳。
もう 35年も 経ったのですね。
判ったような 顔して 診療生活を 満喫しています。
でも、
今でも そうですが、
無我夢中の35年だった.のですよ。
最近、
いわゆる 断捨離を 始めたことは
以前 お話し させて頂きましたっけ。
で、
この頃は やっと 院長室にある 沢山の引き出しの 見直しを。
どちらかと云えば、
私は 物持ちの良い方で、
悪く云えば、
捨てられない 性格なのでした。
そんな中、
沢山の 手紙を 見つけだしたのです。
確認しつつ、
????????????????
で、
涙が とまらなく なりました。

大学病院での 私の患者さんから 頂いた お手紙でした。
私の開業を知り、
私の診療所の住所を 探して、
この お手紙と お祝いの御祝儀を 贈ってくださった。
この頃の 私と、
今の 私。
歯科医学への【情熱】は 全く 変わっては おりません。
本当に 私は 【歯医者】になって 良かった。
この【道】
最優先で 人生を まっとう したい。
決意を 新たに ふんどしの紐を 締め直したのです。

全顎の デンタルレントゲン所見です。
これを 診て 正常だと 診断するならば、
歯科診療の現場から、
早々に 退場すべきでしょう。
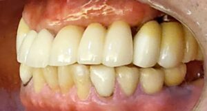
次いで 口腔内所見です。
凄まじい ですよ。




3件の 歯科医院の 合作です。
下顎の 所見は、
あまりにも 無惨で、
到底 公開できません。
全て 自費での 歯科治療です。
患者さんは 大変な金額を 歯科医師に 支払っています。
どうして 自費で いただける.のか?
私には 到底 理解できません。
未熟 過ぎる.んです。
患者さんは 泣いて いるんですよ。
彼らの ホームページを観ていると、
アホウとしか、
言いようが ありません。
先ずは、
歯科医師という 職業の意味を 再認識され、
卒業したての 初歩から、
もう一度 修練すべきでしょう。
罪を つくっては イケマセンね。
歯医者が 破壊者に なって しまう んです。